


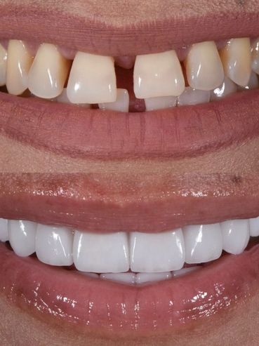
1 saat içinde tüm çapraşık, estetik görünümü ile hoşunuza gitmeyen diş gorüntünüzü Porselen içerikli estetik dolgu uyglamalarımız (BONDİNG) ile DİŞLERİNİZİ KESMEDEN, İĞNE YAPMADAN ACISIZ, AĞRISIZ KORUYOR TÜM ÇAPRAŞIKLIK GÖRÜNTÜSÜNÜ KUSURSUZ ESTETİK GÖRÜNTÜSÜYLE DEĞİŞTİRİYROUZ.

Prof., Doç., Uzm., Deneyimli branşlarında uzman el pratiği kusursuz hekimlerimiz ile;
Dental implant
Gömük diş, 20 yaş dişi cerrahisi
Ortodonti (telli, telsiz / yetişkin, çocuk)
Estetik Diş Hekimliği / Bonding
Zirkon Kaplama, Metal üstü Porselen Kaplama
Vita İtalyan Porselen
Lamina Yaprak porselen
Total, yarım, çıtçıtlı protez
Diş eti tedavileri
Diş taşı temizliği
Diş lekesi temizligi
Ofis ve ev tipi Profesyonel Beyazlatma
Diş gıcırdatma (Bruksizm) tedavilerimiz
Sert yumuşak gece plağı
Çocuk diş (dolgu, ampitasyon, fissur sealent...)
Flor uygulamaları
IŞINLI KOMPOZİT DOLGU
KANAL TEDAVİLERİ ( ENDODONTİ)
LÜTFEN BİZE YAZIN & İNSTAGRAM HESABIMIZI TAKİP EDEREK GÜNCEL BİLGİLER EDİNİN
email: soyakdisklinigi@gmail.com
instagram: @soyakdis












Hastalarımıza değer veriyoruz.
Randevu icin 0 216 315 07 65
Ünalan, Diş Hekimi Yüksel Erensoy, Üsküdar/İstanbul, Türkiye
Pzt | Randevu ile | |
Sal | Randevu ile | |
Çar | Randevu ile | |
Per | Randevu ile | |
Cum | Randevu ile | |
Cmt | Randevu ile | |
Paz | Kapalı |
Telif Hakkı © 2025 SoyakDişHekimiYükselErensoyAydınAğızveDişSağlığıKliniği - Tüm Hakları Saklıdır.
Web sitesi trafiğini analiz etmek ve web sitesi deneyiminizi optimize etmek amacıyla çerezler kullanıyoruz. Çerez kullanımımızı kabul ettiğinizde, verileriniz tüm diğer kullanıcı verileriyle birlikte derlenir.